How Spine Surgery in 3-D Is Changing Patient Lives
May 25, 2018

Spine surgery techniques have evolved over the years and surgeons are now able to manage and correct many conditions of the spine that might have been considered dangerous and inoperable in the past.
However, spine surgery is still a very complex procedure and scientists continue to look for ways to make these procedures even safer and more effective. Very recently, Mighty Oak Medical, a small company in Colorado, introduced new technology that does just that.
FIREFLY® Technology uses specialized software to convert CT images into an exact, three dimensional computer image of the patient’s spine. 3-D printing technology then transforms the image into an actual model of the spine – a model the surgeon can hold and study from all angles, enabling them to plan and practice their surgical approach well before they enter the operating room.
Spine surgery often requires the placement of screws to correct and maintain the position of the vertebrae. As part of the preoperative planning, FIREFLY® also provides 3-D printed guides so that during surgery, the surgeon can insert these screws through preselected pathways.
Knowing exactly where the screws need to be inserted eliminates the need for the use of image guided navigation during the operation and greatly reduces radiation exposure to the patient. And because of the highly accurate screw placement, patients are less likely to need additional surgeries.
Paige's Story
University Hospitals recently became the first healthcare facility in Northeast Ohio to put FIREFLY® technology into action. To date, two procedures have been done at UH using the new technology, both of which were life-changing for the young patients.

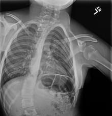
Paige’s spine before surgery

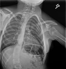
Paige’s spine after surgery with rods and screws inserted using FIREFLY® Technology.
Paige Williams, 11, the second patient successfully treated at UH with FIREFLY®, had worn a brace or cast for most of her life due to congenital scoliosis (curvature of the spine) and other vertebrae abnormalities. In addition to limiting her ability to move and play, Paige’s crooked spine was also affecting her heart and lung function and contributing to possible hip dysplasia.
Christina Hardesty, MD, a pediatric orthopedic surgeon at UH Rainbow Babies & Children’s Hospital worked with FIREFLY® engineers to turn CT scans of the young patient's spine into an anatomically matched 3D-printed model, giving Dr. Hardesty a clear picture of the patient's spine to help her prepare for surgery.
When Dr. Hardesty placed the guides on the patient's spine during surgery, she could see precisely where to place rods and screws – despite the significant twists and turns of her young patient's spine.
“Using FIREFLY® decreases the risk of spinal cord, nerve and tissue damage. Knowing you're in the right place the first time you attempt to place a pedicle screw is safer for the patient’s anatomy. It also reduces the patient’s exposure to radiation and anesthesia, further enhancing patient safety,” Dr. Hardesty says.
“Before long, I predict Firefly will be able to create the 3-D models and guides using MRI images instead of CT, completely eliminating radiation exposure,” she adds. Now fully recovered, and free of the brace, “Paige is back to her sassy self,” says her mom. “She doesn't have to miss gym class, and she can even take up sports if she wants. In fact, she's planning to attend horseback riding camp this summer.”
The Future of 3-D Printing in Healthcare

Healthcare is increasingly becoming more personalized. Patients and doctors are seeking out highly customized medical devices, surgical tools and medicines that are specifically designed and tailored to meet the unique needs of each individual.
As this trend continues, it is likely that the use of 3-D printing and technologies like FIREFLY® will gain popularity and be used for a wide variety of complicated surgical procedures.
Related links
Tags: Spine Surgery, Scoliosis, Firefly, Pedicle Screws, 3D Printing