iSCAD Registry Aims to Accelerate Research
March 09, 2020
University Hospitals is one of nine national registry sites
Innovations in Cardiovascular Medicine & Surgery | Winter 2020

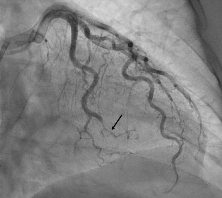
Spontaneous coronary artery dissection (SCAD) is a rare but urgent condition resulting from a sudden tear or bleed within the wall of a coronary artery. SCAD is an underdiagnosed cause of heart attack, acute coronary syndrome and cardiac arrest, and its risk factors and optimal treatment are not yet well-understood. The International SCAD (iSCAD) Registry, funded through the nonprofit SCAD Alliance, is an independent, multicenter data repository aimed at advancing research and improving patient outcomes.
In partnership with Case Western Reserve University School of Medicine, University Hospitals Cleveland Medical Center is one of nine active iSCAD registry sites nationally and the only site in Ohio. “Registries like iSCAD are important in documenting the clinical features, natural history, treatment and progression of these rare but potentially life-altering conditions,” says Heather Gornik, MD, Co-Director of the Vascular Center and Director of the Fibromuscular Dysplasia and Arterial Dissection Program at University Hospitals Harrington Heart & Vascular Institute, and Professor of Medicine at the School of Medicine.

A LINK TO FIBROMUSCULAR DYSPLASIA
Through arterial imaging, researchers have found that half or more of patients with SCAD also have fibromuscular dysplasia (FMD), an uncommon vascular disease not associated with atherosclerosis, inflammation or thrombosis. It is characterized by abnormal cell growth within the walls of arteries throughout the body. FMD causes narrowing or bulging of blood vessels, primarily manifesting as multifocal (beaded) or focal lesions in medium-sized arteries. Though lesions may be asymptomatic or clinically silent, FMD can lead to high blood pressure, stenosis, aneurysm and dissection.
While arteries throughout the body may be affected, FMD most commonly involves:
- renal arteries
- extracranial carotid arteries
- vertebral arteries
- cerebral arteries (brain)
- mesenteric arteries
An internationally recognized expert on complex vascular disease, Dr. Gornik has spearheaded development of a comprehensive, interdisciplinary practice for SCAD and FMD at University Hospitals. “One of the aspects I’ve enjoyed about the collegial environment here is that we have been able to grow a national referral practice in these diseases while keeping one foot grounded in our community,” she says. “We offer a high level of expertise to our patients here in Northeast Ohio.”
In addition to the iSCAD Registry, UH is participating in the US Registry for FMD in collaboration with the Fibromuscular Dysplasia Society of America (FMDSA). The nonprofit organization raises awareness and funds to support education and research for the FMD community. Approximately 90 percent of patients with FMD are women, and generally they are in middle age (40 to 60 years old), although the condition also affects children and the elderly. In men, FMD tends to cause a higher incidence of aneurysm and dissection.
EXTENDING CARE THROUGH SUPPORT GROUPS
Psychosocial support is an essential component of the UH care model for FMD and SCAD. Open to the public, quarterly informational support groups are helping patients and families cope with the uncertainties of their disease. “We held our first meeting last April and have had four additional sessions. The open discussion and information shared has been very beneficial,” says Dr. Gornik. “Patients are providing each other support and encouragement and are even making connections they have continued after the meeting has ended.”
Group members are also playing a role in advocacy and education. Women who present with SCAD do not appear to have the risk factors for heart attack, so the seriousness of their condition can be overlooked. “We decided at our last support group that we need to educate first responders about coronary artery dissection,” says Dr. Gornik. “It is vital that medical teams recognize that a woman in her 40s can have a heart attack.” An upcoming session with Cleveland-area paramedics will help spread the word about SCAD symptoms and treatment protocols.
NOT A TYPICAL HEART ATTACK
Heart attack blockages resulting from SCAD differ significantly from more common forms of heart attack. “Interventional cardiologists play a crucial role in determining that a coronary dissection is occurring,” says Dr. Gornik. “These patients tend to have a high risk of complication with coronary angioplasty and stenting, and the blockages due to SCAD are often best managed with medications. But the first step is recognizing on the coronary angiogram that the coronary artery narrowing is due to SCAD and not a typical stenosis. I feel fortunate that, at University Hospitals, we have the experts available to recognize SCAD and offer the differentiated care SCAD requires.”
Dr. Gornik sees patients at UH Cleveland Medical Center and University Hospitals Ahuja and Elyria medical centers.
For patient registry or additional information on the fibromuscular dysplasia program, contact Dr. Heather Gornik at Heather.Gornik@uhhospitals.org or 216-553-1439, or study coordinator Nazla Tonni at Nazla.Tonni@uhhospitals.org or 216-553-1439.