Innovations In Cardiovascular Medicine & Surgery | Winter 2020
Showing of 5 results

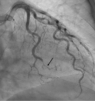
iSCAD Registry Aims to Accelerate Research
University Hospitals is one of nine national registry sites - Innovations in Cardiovascular Medicine & Surgery | Winter 2020

3D Models Inform Presurgical Planning for VAD Placement
University Hospitals participates in international study to improve outcomes in patients with congenital heart disease and heart failure - Innovations in Cardiovascular Medicine & Surgery | Winter 2020

Novel Endovascular Procedure for Hemodialysis Access
University Hospitals among first in Ohio to utilize innovative technique - Innovations in Cardiovascular Medicine & Surgery | Winter 2020

A Full Spectrum of Options for Mitral Valve Disease
Experts at University Hospitals offer advanced, minimally invasive treatments - Innovations in Cardiovascular Medicine & Surgery | Winter 2020

Increasing Options for Life-Saving Care: Focus on Multidisciplinary Cardiogenic Shock Team at UH
Record number of heart and lung transplants performed at University Hospitals in 2019 - Innovations in Cardiovascular Medicine & Surgery | Winter 2020