Skip to main content
  • Find
  • Doctors
  • Services
  • Locations
  • Give to UH
  • Patients & Visitors
  • Medical Professionals
  • Research Community
  • Medical Learners
  • Volunteers
  • Donors
  • Employees
  • Job Seekers
  • Quick Links
  • Make An Appointment
  • Our Services
  • UH MyChart
  • Price Estimate
  • Price Transparency
  • Pay Your Bill
  • Patient Experience
  • Locations
  • About UH
  • Give to UH
  • Careers at UH
Loading Results
We have updated our Online Services Terms of Use and Privacy Policy. See our Cookies Notice for information concerning our use of cookies and similar technologies. By using this website or clicking “I ACCEPT”, you consent to our Online Services Terms of Use.
Schedule an appointment today
Call to Schedule: 1-866-UH4-CARE
CardiologyDermatologyGynecologyMammographyOrthopedicsPrimary CarePulmonologySleep MedicineMore Options
University Hospitals Logo University Hospitals Logo University Hospitals
  • Find
  • Doctors
  • Services
  • Locations
  • Give to UH
  • Rainbow
  • UH MyChart
Driscoll Lab
Visit the Research & Education Institute
  • About
  • Research
  • Collaborations
  • Lab Team
  • Publications
  • More Driscoll Lab Menu
  1. Home
  2. UH Research
  3. For Researchers
  4. Basic & Translational Research
  5. Labs
  6. Driscoll Lab
  7. Research

Research Focus Areas

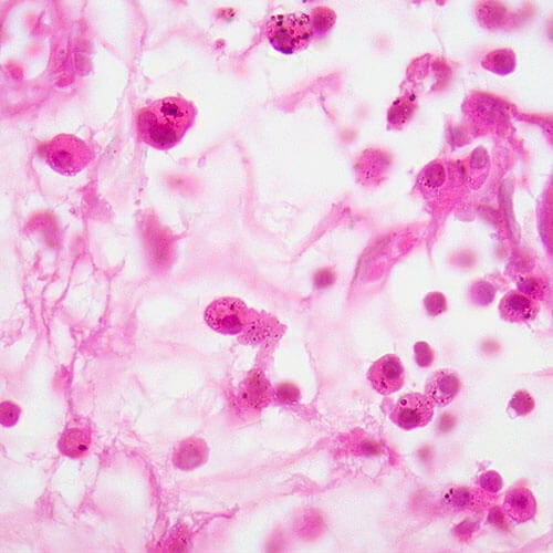
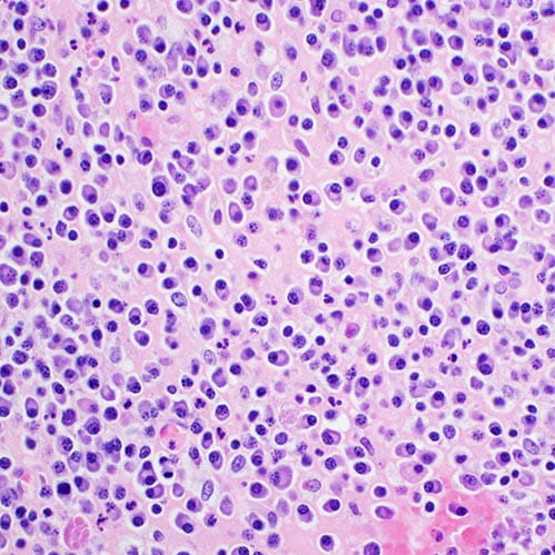
H&E stain, light microscopy, multiple myeloma
Multiple Myeloma
plasma cells
Targeting Plasma Cells for Organ Transplantation
1-866-UH4-CARE
Can't find what you're looking for? Search now:
  • Quick Links
  • Make An Appointment
  • Our Services
  • UH MyChart
  • Price Estimate
  • Price Transparency
  • Pay Your Bill
  • Patient Experience
  • Locations
  • About UH
  • Give to UH
  • Careers at UH

Stay connected to your care.

Get access to your health record, communicate with your doctor, see test results, pay your bill and more.

Manage Your Care With UH MyChart

Contact Us

For appointments/referrals:
1-866-UH4-CARE

For Pediatrics:
216-UH4-KIDS

Contact Us
Financial Assistance
UH Newsroom
About UH
Website Accessibility

National Suicide Prevention Lifeline:
988 (24 hours a day, 7 days a week)

  • Connect With UH
  • Facebook
  • X
  • YouTube
  • Instagram
  • TikTok
  • LinkedIn
  • Connect With Rainbow
  • Facebook
  • X
  • YouTube
  • Instagram
University Hospitals Logo University Hospitals Logo University Hospitals
  • Privacy Policy
  • Terms and Conditions
  • UH MyChart Terms and Conditions
  • HIPAA Notice
  • Non-Discrimination Notice
  • For Employees
  • Price Transparency

Copyright © 2025 University Hospitals

Sign Up For Our E-Newsletter

Get health news and advice you need to live your best, delivered right to your inbox every month: The Science of Health e-newsletter.

SIGN UP NOW
Back to Top