Todd Otteson, MD, MPH
Showing of 3 results

UH Rainbow Plays Leading Role in PATS Trial Addressing Childhood Snoring
Results recently published in JAMA - Innovations in Pediatrics | Winter 2024 | Innovations in Ear, Nose & Throat | Winter 2024

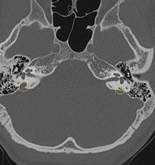
The Enigma of Enlarged Vestibular Aqueduct Syndrome
Patients may hold the key to improving EVA diagnosis and outcomes Innovations in Otolaryngology - Head & Neck Surgery - Summer 2018 Todd Otteson, MDThanks to a special internet website portal and database developed at University Hospitals...

Demystifying Enlarged Vestibular Aqueduct Syndrome
New national EVA patient registry will clarify prognosis, identify risk factors for EVA-related hearing loss Innovations in Pediatrics - Summer 2016 - View Full PDF Todd Otteson, MD, PhD It’s a clinical conundrum: An enlarged vestibular...
Results are loading...