Brian Appleby, MD
Showing of 3 results

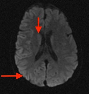
When Proteins Go Rogue: The Prion Paradigm in Neurodegenerative Disease
Neuropsychiatrist Brian Appleby, MD, shares insights on prion diseases like Creutzfeldt-Jakob and UH’s groundbreaking research and trials to better understand these rare but fatal neurodegenerative disorders.

UH is First Site Activated in Groundbreaking Global Prion Disease Treatment Trial
Innovations in Neurology & Neurosurgery | Summer 2024

Casting a Wider Net
Study uses telemedicine to expand clinical research into Creutzfeldt-Jakob disease |UH Neurological Institute | Winter 2018
Results are loading...