Cardiovascular Phenomics Core
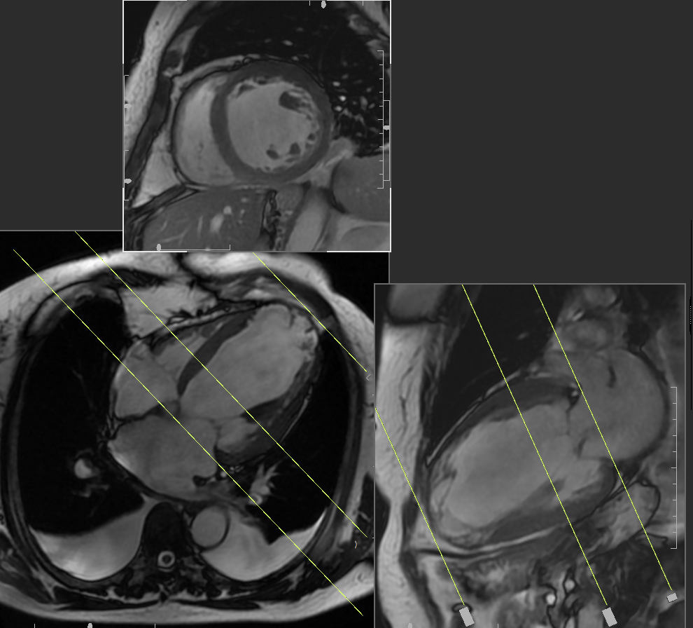
Cardiac Magnetic Resonance Imaging CMRI
The Cardiovascular Phenomics Core Laboratory experts provide comprehensive cardiac magnetic resonance imaging (CMRI) functional, perfusion and viability analyses that includes:
- Left ventricular (LV) and right ventricular (RV) function quantification
- Anatomy and tissue segmentation
- Signal intensity analysis for the myocardium and infarct sizing
- Magnetic resonance (MR) parametric maps (such as T1, T2, T2* relaxation) evaluation
- MR velocity-encoded flow quantification
- MR angiographic review and analysis, including analysis of vessel wall plaque quantification
The Cardiovascular Phenomics Core also provides turnkey implementation and guidance on CMRI acquisition and sequence protocols for multicenter trials that use cardiovascular MRI surrogates as endpoints.
