Loading Results
We have updated our Online Services Terms of Use and Privacy Policy. See our Cookies Notice for information concerning our use of cookies and similar technologies. By using this website or clicking “I ACCEPT”, you consent to our Online Services Terms of Use.

The Autoimmune Encephalitis Clinic at UH

The Autoimmune Encephalitis Clinic at UH Neurological Institute specializes in the diagnosis and management of a rare group of disorders characterized by immune-mediated inflammation of the brain.

Make an Appointment Today

Your health is important. Get expert care.

You can book an appointment with a UH Neuroimmunology expert by calling 216-844-2848 (Option 1).

Virtual visits and virtual second opinions also are available. Learn more about virtual visit.

Causes and Types of Autoimmune Encephalitis

Autoimmune encephalitis can be caused by or related to a number of antibodies that target different proteins or receptors in the brain.

It frequently occurs when there is a known or hidden tumor in the body (called paraneoplastic autoimmune encephalitis) but it can also occur in the absence of tumors (called idiopathic autoimmune encephalitis).

Rarely, they can occur after certain viral infections or in the setting of some immune-modulating therapies.

Many antibodies have been linked to different forms of autoimmune encephalitis, but some cases do not have any recognizable antibodies (seronegative). The most common type of autoimmune encephalitis is NMDA receptor antibody encephalitis.

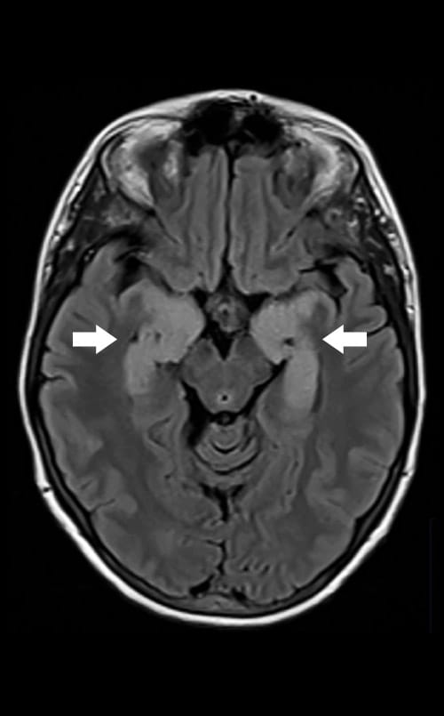
Arrows on an MRI image point to inflammation of the limbic system in a patient with autoimmune encephalitis.
Arrows on an MRI image point to inflammation of the limbic system in a patient with autoimmune encephalitis.

Symptoms of Autoimmune Encephalitis

Possible symptoms of autoimmune encephalitis can include, but are not limited to:

  • Acute confusion or cognitive decline
  • Personality and behavioral changes
  • Mild fever, headache, and neck stiffness
  • Abnormal involuntary movements
  • New onset seizures
  • Incoordination of movement and unsteadiness
  • Sleep disturbance
  • Changes in speech
  • Frequent variation of blood pressure, heart rate, and respiration
  • New onset neuropathy or muscle weakness

Common Tumors Associated with Paraneoplastic Encephalitis

The tumors more often associated with paraneoplastic encephalitis are:

  • Small cell lung cancer
  • Breast cancer
  • Thymoma
  • Ovarian or testicular tumors
  • Lymphoma
  • Other rare cancers: renal cell carcinoma, colon cancer, melanoma or any cancer treated with cancer immunotherapy

How Autoimmune Encephalitis is Diagnosed

At the UH Autoimmune Encephalitis Clinic, our experts confirm the diagnosis and rule out other possibilities using several diagnostic tools, including:

  • Brain MRI
  • Lumbar puncture for cerebrospinal fluid analysis
  • Electroencephalogram
  • Testing abnormal neuronal antibodies in the serum and cerebrospinal fluid
  • Brain positron emission tomography scan (FDG-PET)
  • Cancer screening

Treatment for Autoimmune Encephalitis

Currently, there are no treatments approved by the U.S. Food and Drug Administration (FDA) for autoimmune encephalitis and treatment is guided by observational studies and clinical experience. Patients with severe symptoms will require admission to the hospital for treatment.

These measures are commonly used to treat autoimmune encephalitis:

  • Treatment of the tumor, if any
  • High dose of intravenous corticosteroids
  • Intravenous immunoglobulins
  • Plasma exchange
  • Immunosuppressant agents in severe or recurrent cases

Prognosis and Long-Term Management of Autoimmune Encephalitis

Prognosis varies according to the type of antibody found, if any.

In general, paraneoplastic cases may stabilize after treatment of the associated tumor, while idiopathic autoimmune encephalitis is usually fully or partially responsive to the treatments listed above. Some patients may have disease recurrence, so clinical monitoring and periodic cancer screening are often needed after recovery from the first attack. Patients with recurrent disease may need long-term immunosuppressive therapy. Many patients will require cognitive rehabilitation after recovery from the attack and some will require long-term management of residual seizures, involuntary movements, spasticity and psychiatric symptoms.

Multidisciplinary Treatment of Autoimmune Encephalitis

The Autoimmune Encephalitis Clinic is part of the UH Multiple Sclerosis and Neuroimmunology Program. Our multidisciplinary core team includes neuroimmunologists, neuro-ophthalmologists, movement disorder and spasticity management experts, psychiatrists and neuropsychologists experienced in cognitive rehabilitation.

In addition to the core team, the Autoimmune Encephalitis Clinic collaborates with several specialists to provide comprehensive care to our patients. These include oncologists, urologists, physical and occupational therapists, epileptologists, sleep specialties and specialists in autonomic nervous system disorders.

Paraneoplastic and Non-Paraneoplastic Neurological Syndromes Associated with Neuronal Auto Antibodies