
UH Seidman Cancer Center
We put the medical breakthroughs of tomorrow within reach today. For more than 20 years, U.S. News & World Report has rated us as one of the best cancer hospitals in the country.
Schedule an appointment to discuss treatment options at 216-844-3951.
Cancer Screenings
Cancer screenings find cancer early, when it is easier to treat. Review the recommendations.
Compassionate Care
Our experienced team of cancer specialists personalize care for each patient.
Accepted Insurance
UH Seidman Cancer Center accepts most major insurance plans.
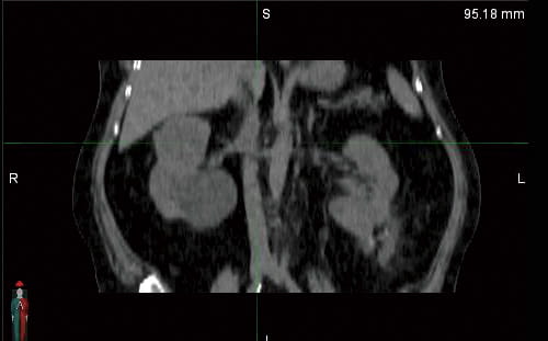
Early Access to New Kidney Cancer PET Scan
We are one of the few cancer centers with early access to this new PET Scan imaging agent for better detection of kidney cancer.


Image of kidneys: PET Scan with new imaging agent (left) compared to CT Scan (right)
Immunotherapy in Cancer Treatment

Patients with blood cancers have an 80-percent complete or partial remission rate with our CAR T-cell therapy.
Identifying New Subtype of Small Cell Lung Cancer

Because of this discovery, we are finding promising therapies and innovative approaches to treat this aggressive cancer.
Brain Cancer Treatment in a Few Minutes

Radiation therapy used to take many hours. New technology allows us to deliver precise treatments in a few minutes.
Improving Radiation Therapy Treatments

Using the latest technology, our team uses fewer and shorter treatments, including just five treatments for prostate cancer.
Advancing Options for Pancreatic Cancer

Three recent medical breakthroughs are helping provide treatment options for patients with pancreatic cancer.
One of the First in Bone Marrow Transplants

For more than 45 years, we have performed over 3,500 stem cell transplants. We have pioneered many clinical trials to advance transplant methods.
Creating 3D Organoids to Study Brain Tumors

By creating a mass of tens of millions of cells, we can study how brain tumors survive and develop therapies to destroy them.
3D-Printed Implants for Bone Cancer Patients

We create custom 3D-printed implants to help patients regain function, when a return to activities might not have been possible.
Contrast Enhanced Mammography

We are the first in Northeast Ohio to offer contrast enhanced mammography for women who cannot have an MRI.
Medical Breakthroughs in HPV Cancers

We discovered that HPV type 33 is associated with aggressive disease progression for up to 25 percent of patients with HPV-positive oropharyngeal cancer.
Immunotherapy in Colorectal Cancer
For patients with a type of colorectal cancer (dMMR/MSI-H) that cannot be treated with surgery, immunotherapy is now an option and tolerated well in over 90 percent of patients.
Importance of Clinical Trials
Medical breakthroughs occur because of clinical research and cancer clinical trials.
Genomic Medicine
Genomic testing has led to the development of more targeted therapies for cancer.