Loading Results
We have updated our Online Services Terms of Use and Privacy Policy. See our Cookies Notice for information concerning our use of cookies and similar technologies. By using this website or clicking “I ACCEPT”, you consent to our Online Services Terms of Use.

Aneurysm Surgery

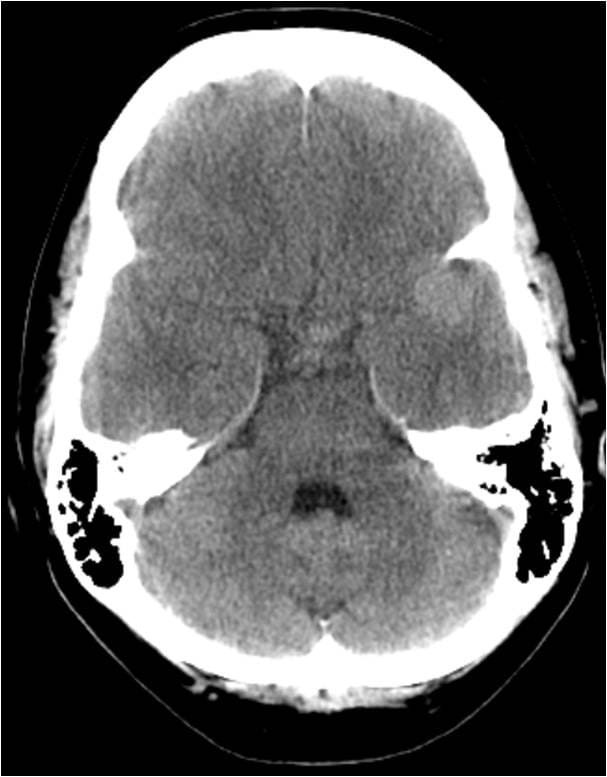
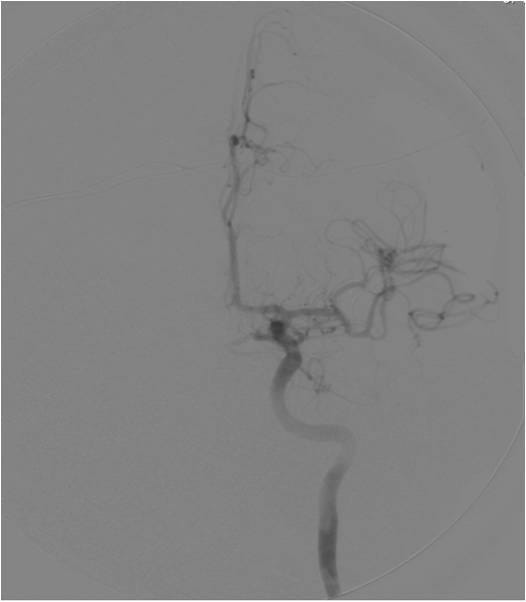
This video documents the surgical clipping of a giant middle cerebral artery aneurysm. The patient is a 56-year-old woman with a Grade I subarachnoid hemorrhage.

Supplemental photos also accompany the video below.