Innovations in Cardiovascular Medicine & Surgery Winter 2023
Showing of 5 results

UH Harrington Heart & Vascular Institute No-Cost Calcium Score at the Forefront for Diagnostic Evaluation of Coronary Artery Disease
Innovations in Cardiovascular Medicine & Surgery |Winter 2023

University Hospitals Harrington Heart & Vascular Institute Grows to Become Nation’s 4th Largest MIDCAB Program
Innovations in Cardiovascular Medicine & Surgery | Winter 2023

Building and Growing a Multidisciplinary Venous Care Program
Innovations in Cardiovascular Medicine & Surgery | Winter 2023

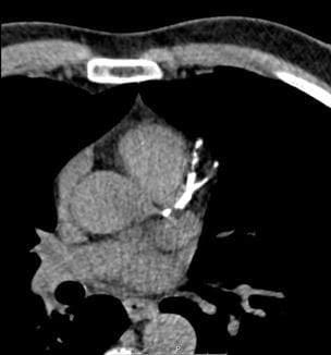
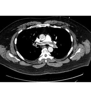
University Hospitals Harrington Heart & Vascular Institute in the Top 20 Nationally for MitraClip Volumes
Quality remains high in fast-growing program - innovations in Cardiovascular Medicine & Surgery | Winter 2023

Experience at University Hospitals Cleveland Medical Center Shows Effectiveness of Pulmonary Embolism Response Team Approach
PERT members also launching clinical trials of new interventional devices, studying use - Innovations in Pulmonology & Sleep Medicine
Results are loading...