Innovations in Cardiovascular Medicine & Surgery Summer 2022
Showing of 7 results

Notable Number of Physicians in UH Harrington Heart & Vascular Institute Awarded Endowed Chair or Master Clinician
Positions boost clinical care, research, recruiting, quality outcomes for patients - Innovations in Cardiovascular Medicine & Surgery | Summer 2022

Same-Day Discharge Offers Excellent Outcomes, Patient Satisfaction for Percutaneous Cardiac Procedures
Innovations in Cardiovascular Medicine & Surgery | Summer 2022

University Hospitals Harrington Heart & Vascular Institute President Leads International Clinical Trial
Chocolate Touch study results published in Circulation and presented at ACC show increased effectiveness of second-generation drug-coated balloon in treating PAD - Innovations in Cardiovascular Medicine & Surgery | Summer 2022

New Protocols Advance Treatment of Aortic Disease
Innovations in Cardiovascular Medicine & Surgery | Summer 2022

Case Study Showcases Impact of Unique Cardiometabolic Program at University Hospitals Harrington Heart & Vascular Institute
Innovations in Cardiovascular Medicine & Surgery | Summer 2022

Innovative Hypertrophic Cardiomyopathy Board at University Hospitals Harrington Heart & Vascular Institute Features Diverse Set of Experts
Complex condition best treated with a truly multidisciplinary approach - Innovations in Cardiovascular Medicine & Surgery | Summer 2022

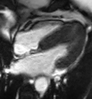
UH Team First to Report Using Cardiac MRI for LAAC Pre-procedure Planning
Approach is a solution for the current contrast media shortage, as well as other scenarios - Innovations in Cardiovascular Medicine & Surgery | Summer 2022