Innovations In Cardiovascular Medicine & Surgery | Fall 2020
Showing of 6 results

Heart Failure 2020: What Mattered Most?
Five University Hospitals Harrington Heart & Vascular Institute specialists offer their perspectives - Innovations in Cardiovascular Medicine & Surgery | Fall 2020

Innovation at University Hospitals Leads to Safer Same Day Procedure for Left Atrial Appendage Patients
Conscious sedation approach uses cardiac CTA for pre-procedure planning and intracardiac echo during the procedure - Innovations in Cardiovascular Medicine & Surgery | Fall 2020

Screening Initiative Shows Value of Coronary Artery Calcium Scoring
CLARIFY program has helped reclassify the 10-year atherosclerotic cardiovascular disease risk for roughly one in five patients - Innovations in Cardiovascular Medicine & Surgery | Fall 2020

New Center Advances Integrated Care for Diabetes and Metabolic-Linked Cardiovascular and Renal Disease
CINEMA offers a novel holistic approach to treatment and risk mitigation - Innovations in Cardiovascular Disease & Surgery | Fall 2020

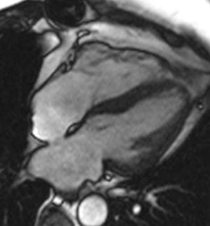
Novel Cardiac MRI Protocol Explores Impact of COVID-19-Linked Myocardial Injury
New approach captures a highly detailed assessment of heart and lung function in a subset of survivors - Innovations in Cardiovascular Medicine & Surgery | Fall 2020

Dr. Mehdi Shishehbor Named President, UH Harrington Heart & Vascular Institute
Head of Limb Salvage Program to continue saving legs for patients across the country - UH News Release