Group at UH Leading Pioneering Genomic Research into Signet Ring Colon Cancer
February 13, 2019
Philanthropic support from a patient’s family foundation enables creation of national sample archive
Innovations in Cancer - Winter 2019
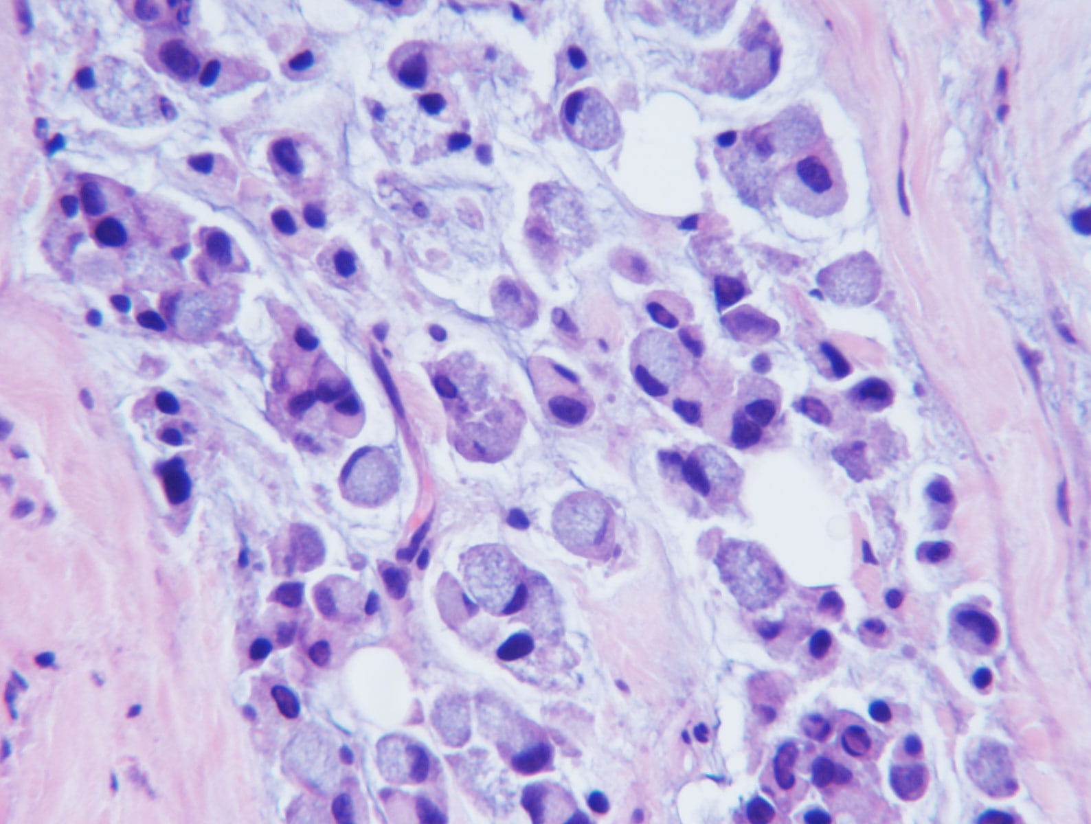
A team of experts in colon cancer biology from University Hospitals, UH Seidman Cancer Center and the Case Comprehensive Cancer Center at Case Western Reserve University has assembled the first-ever comprehensive archive of samples of signet ring colon cancer, with an eye toward elucidating the molecular biology and genomics of this rare but deadly cancer.

“Even though the complexities of colon cancer have been subjugated to a large number of studies, advanced technologies have never been put together to study signet ring colon cancer,” says pathologist Joseph Willis, MD, Vice Chairman of Clinical Affairs of Pathology at UH Cleveland Medical Center, who is leading the group, along with Sanford Markowitz, MD, PhD, colon cancer genetics specialist at UH Seidman Cancer Center and the Case Comprehensive Cancer Center, and the Markowitz-Ingalls professorship of Cancer Genetics at the Case Western Reserve University School of Medicine. “Because signet ring tumors are relatively uncommon, it’s proven quite difficult to accumulate enough patients and patient material to actually study them comprehensively. It’s been challenging, but over three years we’ve gathered a collection of specimens from different pathology departments around the country, as well as one international site.”
Members of the team include Dr. Willis and Dr. Markowitz, medical oncologist David Bajor, MD, and Vinay Varadan, PhD, and Kishore Guda, PhD, from the GI Cancer Genetics Program at the Case Comprehensive Cancer Center.

The group has been supported in its work by donations to UH from the family and foundation of UH Seidman patient Alla Bogomolnaya; by the family, supporters and foundation of Illinois signet ring colon cancer patient Michael P. Brown; by the family and supporters of Texas signet ring colon cancer patient Taylor Helland at the Andrew McDonough B+ Foundation; and by the family, supporters and foundation of Toledo signet ring colon cancer patient Michael Simone. Through the work of these committed advocates, nearly $300,000 has been raised thus far to support the research team’s efforts to discover the cause of this deadly disease. In Illinois, the fundraising effort has mobilized an entire community of supporters who have participated in the Michael’s Run for Life Festivals that have raised $160,000 to help the research.
In addition to creating the signet ring colon cancer sample archive, the team is also prosecuting a series of experiments to identify the genes that drive this lethal cancer, with the aim of ultimately designing new therapies to treat the disease and new ways to detect the disease early.
“These studies will potentially allow us to identify nuanced aspects of the biology of signet ring cancers of the colon, which could be used to explore for treatment options that are not currently understood,” Dr. Willis says. “We’re looking at mutations and different cellular pathways, different genes that are over-expressed, so it’s both the structural and expression aspects of signet ring colon cancer genetics.”
“Sometime in 2019, we intend to have this data back together and analyzed, to see if we can identify unique biological features in signet ring colon cancer that have not been identified before,” Dr. Willis says. “After that, we hope to identify potential molecular events that could be affected by a targeted therapeutic. There may be a targeted therapeutic that we have now that may work in signet ring colon cancers. We may also get an insight from the biologic examination that will show whether a therapeutic could be designed.”Ultimately, Dr. Willis says, the research group hopes its findings won’t be limited just to colon cancer.
“We recognize that if something were identified in signet ring colon cancer, we could determine whether the same features are potentially present in signet ring cancers of other organs,” he says.
For more information about this work, please email Joseph.Willis@UHhospitals.org.