UH Harrington Heart & Vascular Institute Boasts Advanced Imaging Solutions
September 25, 2017
UH Clinical Update - October 2017
University Hospitals Harrington Heart & Vascular Institute, in collaboration with UH Radiology, have performed their first pharmacologic cardiac MRI stress tests at UH Cleveland Medical Center and UH Ahuja Medical Center. Regadenoson is a vasodilator stress agent used to increase the blood flow to the heart during a cardiac MRI stress test. It is given to patients that are unable to exercise adequately and has fewer side effects to the patients.
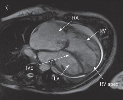
In addition, heart and vascular specialists here have a new, powerful imaging tool at their disposal – a web-based cardiac magnetic resonance (CMR) imaging system that allows images to be viewed, analyzed, reported, shared and sent using one convenient platform.
The new Precession system, developed by Heart IT, allows physicians at different locations to simultaneously view CMR images and interact with each other simply by logging onto a secure website. The Precession system also displays results as the images are being viewed, populating report fields to help maximize efficiency and streamline workflow. Ejection fraction, left ventricle and right ventricle volumes and other measurements aid in accurately interpreting complicated examinations quickly. The system also uses an automated email function to deliver images and reports to referring physicians.
CORONARY CTA WITH HEARTFLOW IMAGING
Heart and vascular specialists at UH Harrington Heart & Vascular Institute are also continuing their groundbreaking work using fractional flow reserve computed tomography (FFR-CT) technology in the diagnosis of coronary artery disease. UH Cleveland Medical Center was the first site in the U.S. to use the technology after its November 2014 approval by the U.S. Food and Drug Administration. This imaging is currently available at UH Cleveland Medical Center, UH Ahuja Medical Center and UH Elyria Medical Center.The technology, developed by HeartFlow, Inc. is the first and only noninvasive diagnostic test specifically designed to provide cardiologists with both anatomic and functional information regarding the extent and significance of coronary artery blockages. It takes coronary CTA scans and combines them with proprietary computer algorithms based on computational fluid dynamics to create a color-coded, 3-D model of the patient's three major coronary arteries, showing both derived FFR information and anatomy. FFR-CT is calculated as a distal-to-proximal pressure ratio, just as it is derived from invasive measurements in the catheterization lab.
The level of detail in this noninvasive test allows the team to determine which patients truly require a catheterization or revascularization, allowing for more efficient use of resources and a better experience for patients.

"In the new value-based healthcare environment, FFR-CT offers significant advantages over our current screening tests," adds Sri Krishna Madan Mohan, MD, Chief Quality Officer with UH Harrington Heart & Vascular Institute. "We not only reduce the number of tests, radiation exposure and total costs, but we improve patient outcomes by revascularizing patients with functionally important coronary artery disease."
Patients at UH Harrington Heart & Vascular Institute are evaluated as candidates for HeartFlow imaging based on the results of their CTA. Previously, UH has billed patients’ insurance for HeartFlow testing. However, as part of an effort to gather more data about the effectiveness of its technology, HeartFlow is now billing patients’ insurance directly. Depending on their insurance coverage, patients may receive a bill from HeartFlow for part of the technology’s cost.
For more information about advanced cardiovascular imaging at UH Harrington Heart & Vascular Institute, contact Advance Cardiac Imaging Coordinator Evelyn Watson, RN, at pager #34553.
Tags: MRI