Case Study: Constrained Arthroplasty of Distal Radioulnar Joint After Severe Fracture
January 03, 2017
Innovations in Orthopaedics - Winter 2017 Download PDF
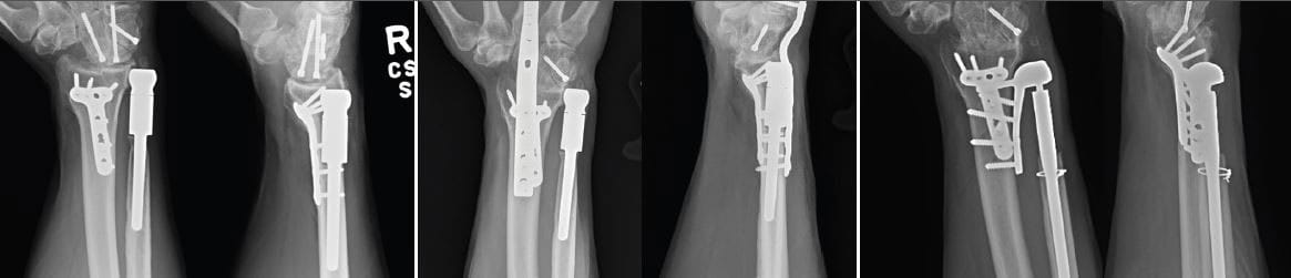
In 2012, a 57-year-old man working at a job site fell from an elevated height and landed on his right arm. His arm buckled, cleanly breaking the ends of his radius and ulna at the wrist joint.
Kevin Malone, MDHand and upper extremity surgeon Kevin Malone, MD, Chief, Hand Surgery, UH Cleveland Medical Center, and Associate Professor of Orthopaedics, Case Western Reserve University School of Medicine, evaluated him and, after careful consideration, used a plate to fix the broken radius and took a conservative course in letting the ulnar styloid fracture heal on its own.
As the man recovered and received therapy, a late-presenting distal radioulnar joint (DRUJ) subluxation caused him pain and made it difficult for him to rotate his forearm. Dr. Malone performed two additional surgeries to stabilize the DRUJ and the damaged soft tissue structures supporting it.

Post-traumatic arthritis developed following these surgeries, causing additional pain in the DRUJ and a clicking noise as the man rotated his forearm or exerted any force on his wrist. Dr. Malone then performed additional surgeries for pain relief and improved function, including an intercarpal fusion and ulnar head arthroplasty.
In fall 2015, Dr. Malone did a total wrist fusion due to continued pain and progressive post-traumatic arthritis of the man’s wrist joint. Following the surgery, the man was not able to move his wrist up and down or side to side, but he could rotate his forearm through the radioulnar joint. The procedure relieved some of the patient’s pain, but he still had sharp discomfort with twisting maneuvers.
“Shaking hands was painful for him. He couldn’t do anything more forceful than pick up a cup of coffee,” Dr. Malone says.
THE RIGHT FIT: Constrained Arthroplasty of the Distal Radioulnar Joint
Dr. Malone, who by then was Chief of University Hospitals’ Division of Hand and Upper Extremity Surgery, continued to investigate options for his patient. He believed a new metal and polyethylene implant with a constrained arthroplasty procedure of the DRUJ could provide his patient with additional comfort and mobility.
Dr. Malone says, “I would consider this surgery for someone with significant pain and/or instability of the DRUJ who has exhausted other options and can comply with permanent activity and lifting restrictions.”
His patient was eager to try this newest option.
During the surgery, Dr. Malone removed the previously placed ulnar head implant as well as the wrist fusion plate. With the new, three-component implant device, he first used screws to attach a plate to the radius along the ulnar aspect. He placed a second component within the medullary canal of the ulna. He then connected the two with a third portion, which restored kinematics of the radial ulnar joint.
The patient now has full rotation of his forearm, full range of motion in his hand and significant resolution of his pain.
Dr. Malone notes, “He still has limitations in weight bearing and twisting to protect the implant. He can’t go back to heavy labor, but he can fully rotate his forearm, make a fist and open his hand.”
“This has been a large success,” Dr. Malone continues. “We’ve met the expectations and hopes of both of us, given the challenging problem at the beginning.”
For more information or to refer a patient to Dr. Malone, please call 216-844-9080.
Tags: